- この記事の監修者
-
歯科医師。医療法人社団ピュアスマイル理事長。インビザライン ブラックダイヤモンドドクター。インビザライン世界サミット23万人いるインビザラインドクターの中からトッププロバイダーの1人に選出。
https://purerio.tokyo/

すきっ歯(空隙歯列)とは、歯と歯の間に隙間が空いている歯並びのことを指し、見た目の印象に影響を与えます。
すきっ歯を治したいけれど「ワイヤー矯正は抵抗がある」「できれば目立たない方法で治したい」と考える人は、マウスピース矯正を検討するのも一つの手です。
実際、すきっ歯はマウスピース矯正と相性の良いケースが多く、症例によっては短期間で改善できることもあります。
ただし、すべてのすきっ歯が適応になるわけではなく、原因や隙間の大きさ、歯茎の状態によって治療方法は異なります。
この記事では、マウスピース矯正ですきっ歯が治せるケースや注意点、費用・治療期間の目安までを分かりやすく解説します。
関連記事
\信頼できる矯正医を探すなら
「WE SMILE」/
- 1. すきっ歯はマウスピース矯正で治せる?
- 2. マウスピース矯正で治せるすきっ歯
- 3. マウスピース矯正だけでは難しいすきっ歯
- 4. すきっ歯をマウスピース矯正で治すメリット
- 4-1. 目立たないまま治療を進められる
- 4-2. 食事も歯磨きも普段どおりにできる
- 4-3. 痛みや違和感が比較的少ない
- 4-4. 前歯のすきっ歯なら治療期間が短く済むことが多い
- 4-5. 治療後の仕上がりを事前に確認できる
- 5. マウスピース矯正で治療したすきっ歯の症例紹介
- 6. すきっ歯をマウスピース矯正で治す際の注意点
- 6-1. 歯肉退縮(歯茎が下がる)が起こることがある
- 6-2. 装着時間を守る必要がある
- 6-3. 舌癖があると隙間が再発しやすい
- 6-4. 虫歯や歯周病に注意が必要
- 7. すきっ歯をマウスピース矯正で治す際の費用と期間の目安
- 7-1. 部分矯正と全体矯正の費用相場
- 7-2. 症例別の治療期間の目安
- 8. まとめ|すきっ歯を治すならマウスピース矯正がおすすめ
1. すきっ歯はマウスピース矯正で治せる?

結論からいうと、多くのすきっ歯(空隙歯列)はマウスピース矯正で改善が可能です。
前歯にできた隙間を中心に、軽度から中等度のすきっ歯であれば、マウスピース矯正が有効な選択肢となります。
ただし、すべてのすきっ歯がマウスピース矯正の適応になるわけではなく、すきっ歯になった原因や隙間の大きさ、歯茎の状態によって治療方針は大きく変わります。
たとえば、歯のサイズと顎のバランスの問題なのか、歯周病による歯茎の変化が関係しているのかによって、選ぶべき治療法は異なります。
マウスピース矯正では、アライナーが歯1本ずつ均一にコントロールされた力をかけ、歯全体を平行に移動させることで隙間を少しずつ縮めていきます。
無理に歯を移動させるのではなく、歯列全体のバランスを見ながら動かせる点が、すきっ歯治療に向いている理由のひとつです。
2. マウスピース矯正で治せるすきっ歯
前歯の軽度〜中等度のすきっ歯は、マウスピース矯正と非常に相性が良いです。
特に前歯部に限ったすきっ歯であれば、歯列全体を大きく動かす必要がなく、アライナーによるコントロールがしやすい傾向があります。

たとえば、前歯(1番・2番)だけに隙間があるケースでは、奥歯の位置を大きく変えずに治療できるため、マウスピースでの歯の移動がスムーズに進みやすくなります。
また、隙間の大きさがおおよそ1〜4mm程度であれば、マウスピース矯正が最も得意とする範囲に含まれ、比較的安定した結果が期待できます。
歯の傾きが少なく、歯がほぼまっすぐ生えている状態であれば、歯を動かす複雑な動きが不要なため、治療計画もシンプルになり、治療期間が短く済むことが多いのも特徴です。
さらに、奥歯の噛み合わせに大きなズレがない場合は、短期間で終えれる部分矯正のみで対応できるケースもあり、費用面の負担も抑えた治療が可能になります。
そのほか、先天的に歯が小さいことが原因のすきっ歯や、舌癖などの生活習慣によって生じたすきっ歯も、マウスピース矯正で改善できることが多いとされています。
このような条件に当てはまるすきっ歯は、マウスピース矯正で無理なく治療できる可能性が高いといえるでしょう。
3. マウスピース矯正だけでは難しいすきっ歯

マウスピース矯正はすきっ歯治療と相性の良い方法ですが、すべての症例に適応できるわけではありません。
すきっ歯の状態や原因によっては、マウスピース矯正単独では十分な改善が難しいと判断されることがあります。
たとえば、隙間が5mm以上と大きく、歯が強く傾いているケースや、奥歯の噛み合わせ(咬合)が大きくズレているケースでは、歯の移動が複雑になりやすく、マウスピースだけで理想的な歯列を作ることが難しくなります。
また、顎の位置や大きさに問題がある骨格性のすきっ歯の場合は、歯の移動だけでは根本的な改善ができず、特に骨格性の問題が強いケースでは外科矯正が必要になることもあります。
さらに、歯周病によって歯を支える歯槽骨が減っている場合や、重度の虫歯・歯周病がある場合には注意が必要です。
このような状態で無理に矯正を行うと、歯の安定性が損なわれるリスクがあるため、矯正治療よりも先に歯周治療や虫歯治療を優先することが必須になります。
ただし、これらの判断は見た目だけで分かるものではなく、マウスピース矯正で治せるかどうかを自己判断するのは難しいのが実情です。
正確な適応判断には、歯科医院での診察に加え、レントゲンやCTを用いた専門的な検査と診断が欠かせません。
関連記事
4. すきっ歯をマウスピース矯正で治すメリット
すきっ歯の治療方法はいくつかありますが、その中でもマウスピース矯正には、見た目や生活面に配慮したメリットがあります。
ここでは、すきっ歯をマウスピース矯正で治療する際に知っておきたい主な利点を解説します。
4-1. 目立たないまま治療を進められる

マウスピース矯正は透明な装置を使用するため、装着中でもほとんど気付かれないことが大きな特徴です。
すきっ歯は見た目の悩みとして意識されやすい歯並びだからこそ、治療中も周囲の目を気にせず過ごせる点は大きな安心感につながります。
接客業や営業職など、人と接する機会が多い仕事でも続けやすく、表情の印象を大きく変えずに治療を進められるのもメリットです。
ワイヤー矯正のように装置が目立つことで生じやすい、治療中のコンプレックスを感じにくい点も、マウスピース矯正が選ばれる理由のひとつといえるでしょう。
4-2. 食事も歯磨きも普段どおりにできる

すきっ歯は、もともと食べ物が歯と歯の間に詰まりやすい歯並びです。
そのため、矯正治療中に歯の清掃が十分に行えないと、虫歯や歯周病、口臭の原因になってしまいます。
マウスピース矯正は装置を自由に取り外せるため、食事の際は外して普段どおりに食べることができます。歯磨きやフロスも治療前と同じように行えるため、治療中でも口腔内を清潔に保ちやすい点は大きなメリットです。
食事制限がほとんどないことも、日常生活への負担を抑えられる理由のひとつといえるでしょう。
一方、ワイヤー矯正では装置に食べ物が詰まりやすく、歯磨きが難しくなりがちです。その点でも、すきっ歯の治療においてマウスピース矯正は、生活面でのストレスが少ない治療法といえます。
4-3. 痛みや違和感が比較的少ない

マウスピース矯正は、弱い力を継続的にかけて歯を少しずつ動かす治療法です。
そのため、ワイヤー矯正と比べて痛みや違和感が出にくい傾向があります。
装置の調整後に強い痛みが出ることも少なく、日常生活や仕事への影響が最小限に抑えられる点も大きな魅力です。
痛みが不安で矯正治療をためらっている方にとっても、マウスピース矯正は取り入れやすい選択肢といえるでしょう。
4-4. 前歯のすきっ歯なら治療期間が短く済むことが多い

嚙み合わせに問題がなく、歯と歯の間に隙間があるすきっ歯の問題だけなら、歯を大きく動かす必要がないため治療が比較的スムーズに進む傾向があります。特に前歯のすきっ歯であれば、移動距離が短く、早い段階で変化を実感できるケースも少なくありません。
マウスピース矯正では、必要な歯だけを選択的に動かす部分矯正が可能なため、全体矯正を行わずに治療できることもあります。
その結果、治療期間が短くなりやすく、費用も抑えられるというメリットにつながります。
前歯の見た目を早く改善したい方にとって、マウスピース矯正は効率の良い治療法といえるでしょう。
関連記事
4-5. 治療後の仕上がりを事前に確認できる

マウスピース矯正では、治療前に撮影したデータをもとに3Dシミュレーションを作成できます。
そのため、どの歯が何mmずつ動いていくのか、隙間がどのように閉じていくのか、治療期間はどれくらいかかるのかといった点を、治療開始前に具体的に確認することが可能です。
「本当にすきっ歯が治るのか」「どの程度きれいになるのか」といった不安を抱えやすいすきっ歯治療において、仕上がりのイメージを事前に確認できる安心感は非常に大きなメリットといえるでしょう。納得したうえで治療をスタートできる点も、マウスピース矯正が選ばれる理由のひとつです。
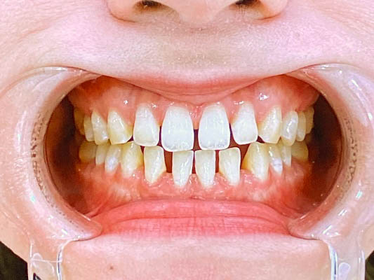
5. マウスピース矯正で治療したすきっ歯の症例紹介
提携医院のご協力のもと、ウィスマイルでマウスピース矯正を受けた過去の患者様の症例をご紹介します。
今回は、前歯のすきっ歯をマウスピース矯正(インビザライン)で改善した症例です。
🔷症例概要
主訴:前歯のすきっ歯が気になる
治療期間:4ヶ月
治療方法:マウスピース矯正(インビザライン)
想定されるリスク:歯列矯正中に伴う疼痛、咬合痛、う蝕、歯肉退縮
◆治療前は、前歯を中心に隙間があり、笑ったときの見た目が気になる状態でした。マウスピース矯正によって歯全体をバランスよく移動させることで、隙間が自然に閉じた歯並びへと改善しています。
この症例のような軽度のすきっ歯であれば、マウスピース矯正によって短期間かつ自然な仕上がりが期待できます。
ただし、隙間の幅や歯の角度、歯茎の状態によって適した治療方法は異なります。
そのため、実際の治療では自己判断をせず、歯科医院での専門的な診断を受けたうえで、適切な治療計画を立てることが重要です。
6. すきっ歯をマウスピース矯正で治す際の注意点

すきっ歯はマウスピース矯正で改善しやすい歯並びですが、治療を進めるうえで知っておくべき注意点もあります。
ここでは、後悔しないために事前に理解しておきたいポイントを解説します。
6-1. 歯肉退縮(歯茎が下がる)が起こることがある
すきっ歯のある方は、もともと歯周組織が薄い傾向があり、マウスピース矯正で歯を寄せていく過程で歯肉退縮(歯茎が下がる)が起こる場合があります。
特に、もともと歯茎のボリュームが少ない方や、矮小歯がある場合は、歯と歯の間にブラックトライアングルが目立ちやすくなることがあります。
マウスピース矯正は歯をゆっくりと動かしていくため、ワイヤー矯正などに比べて歯肉への負担は比較的少ないのがメリットです。ただし、リスクがゼロになるわけではありません。
そのため、すきっ歯をマウスピース矯正で治療する際は、事前に歯周状態をしっかりチェックすることが必須です。
歯茎や骨の状態を確認したうえで治療計画を立てることで、仕上がりの見た目や安全性を高めることができます。
関連記事
6-2. 装着時間を守る必要がある
マウスピース矯正では、1日20時間以上の装着が基本的な目安とされています。装着時間が不足すると、歯が計画どおりに動かず、すきっ歯が十分に閉じない原因になります。
具体的には、隙間が一部だけ残ってしまったり、アライナー(マウスピース)が歯にフィットせず浮いてきたりすることがあります。
また、歯の動きが不安定になることで後戻りが起きやすくなり、治療期間が延びるリスクも高まります。
マウスピース矯正は取り外しができる点が大きなメリットですが、その分、自己管理が治療結果を左右する治療法でもあります。
すきっ歯を確実に改善するためにも、装着時間を意識して守ることが重要です。
6-3. 舌癖があると隙間が再発しやすい
すきっ歯の原因として多いのが、舌で前歯を押す癖(舌突出癖)です。舌の力が日常的に前歯へ加わることで、歯と歯の間に隙間ができやすくなります。
子どもの場合は、成長とともに舌癖が改善され、自然にすきっ歯が目立たなくなることもあります。
一方で、大人の舌癖は無意識の習慣として定着していることが多く、矯正治療だけで癖を改善するのは難しいのが実情です。
そのため、マウスピース矯正ですきっ歯を改善できたとしても、舌癖が残ったままだと隙間が再発しやすく、後戻りの原因になります。
治療後の歯並びを安定させるためには、MFT(口腔筋機能療法)によって舌の正しい使い方を身につけることが効果的です。
関連記事
6-4. 虫歯や歯周病に注意が必要
マウスピース矯正中は、装置を長時間装着することで口の中が密閉された状態になりやすく、唾液による自浄作用が働きにくくなります。
そのため、虫歯や歯周病のリスクが高まる点には注意が必要です。
矯正治療中に虫歯や歯周病が見つかった場合、多くのケースで矯正を一時中断し、治療を優先することになります。
その結果、治療期間が延びるだけでなく、歯の形や位置が変わることでマウスピースが合わなくなり、作り直しによる追加費用が発生する可能性もあります。
すきっ歯をマウスピース矯正で治す際は、毎食後に歯磨きとフロスを行い、装着前には必ず口腔内を清潔に保つことが重要です。
あわせて、マウスピース自体も清潔に管理することで、虫歯や歯周病のリスクを抑えながら治療を進めることができます。
7. すきっ歯をマウスピース矯正で治す際の費用と期間の目安

すきっ歯をマウスピース矯正で治療する場合、隙間の大きさや治療範囲によって、費用や期間は大きく異なります。
ここでは、代表的なケースごとの目安を解説します。
7-1. 部分矯正と全体矯正の費用相場
すきっ歯のマウスピース矯正は、噛み合わせに大きな問題がなければ前歯部分だけの矯正で完結することが多く、全体矯正に比べて費用を抑えられる傾向があります。
特に軽度〜中等度のすきっ歯であれば、部分矯正が選択されるケースは少なくありません。
前歯のみを対象とした部分矯正の場合、費用の目安は10万〜40万円前後が一般的です。
一方、隙間が大きい場合や、奥歯の噛み合わせまで含めて整える必要があるケースでは全体矯正となり、60万〜100万円前後が目安となります。
なお、矯正治療は原則として保険適用外となるため、実際の費用は地域や歯科医院、治療内容によって変動します。正確な金額を知るためには、事前のカウンセリングで見積もりを確認することが大切です。
7-2. 症例別の治療期間の目安
すきっ歯をマウスピース矯正で治療する場合、治療期間は隙間の幅や歯の傾き、歯根の方向、噛み合わせの状態によって異なります。
すきっ歯治療は歯を動かす距離が比較的短いため、矯正の中でも短期間で改善しやすいのが特徴です。
目安として、軽度のすきっ歯であれば3〜4ヶ月程度、中等度の場合は4〜8ヶ月程度で治療が完了するケースが多く見られます。
これらは前歯のみを動かす部分矯正で対応できることが多く、比較的スムーズに治療が進みます。
一方、隙間が大きい場合や歯の傾きが強い場合、奥歯の噛み合わせまで考慮する必要があるケースでは全体矯正となり、10ヶ月〜1年半程度かかることもあります。
また、マウスピースの装着時間を十分に守れない場合も、計画どおりに歯が動かず、治療期間が延びやすくなります。
なお、矯正治療が終わったあとには、どの症例でも後戻りを防ぐための保定期間が必要です。一般的には、矯正期間と同程度の保定期間を設け、歯並びを安定させていきます。
8. まとめ|すきっ歯を治すならマウスピース矯正がおすすめ
すきっ歯(空隙歯列)は、マウスピース矯正と非常に相性の良い歯並びです。
特に前歯の軽度〜中等度の隙間であれば、短期間で自然に改善できます。治療期間が短く済めば、その分費用を抑えられる点も大きなメリットです。
また、マウスピース矯正はワイヤー矯正に比べて見た目が目立ちにくく、痛みや違和感も抑えやすいため、すきっ歯治療において取り入れやすい矯正方法といえます。
一方で、装着時間を自分で管理する必要があるため、自己管理が治療結果を左右する点には注意が必要です。
マウスピース矯正は、精密検査や正確な診断、そして歯科医師の治療計画によって仕上がりに大きな差が出る治療でもあります。
すきっ歯を安全に、そして美しく治したい方は、マウスピース矯正の経験が豊富な歯科医師による精密診断を受けることが大切です。
ウィスマイルでは、マウスピース矯正ができる全国の歯科クリニックを紹介しています。提携先はすべて厳正な審査を通過している、マウスピース矯正が得意なクリニックばかりです。すきっ歯でお悩みの方もぜひクリニック選びにお役立てください。
























