治療開始
50,000名
以上
※1
信頼できる矯正医を探すなら

(※1:治療費に含まれる)
50,000名
以上
※1
100医院
以上
※2


初回マウスピース体験プラン!
マウスピースを装着し、使用感を体験いただく初回プランです。
費用:1,650円(税込)
※初回検診料はクリニックによって異なります※予約状況によってご案内が終了している場合もございます
このプランをご希望の方は、初回検診にてスタッフにお伝えください。

全国の「人気クリニック」に待たずに申し込める 今までにない新しい矯正医選びサイト
次のような嬉しい特徴があります!
ウィ・スマイル加盟医院では わかりやすく、続けやすい 料金プランで、
安心の世界3大ブランドでの治療を受けられます。

ウィ・スマイルは、厳正な審査を通過した医院に予約ができる矯正総合サイトです。


日本/海外でTOPクラスの
ドクターも在籍
ピュアリオ歯科・矯正歯科
院長 湊 寛明 先生

名古屋ウィズ歯科・矯正歯科
院長 小池 陵馬 先生

RYOデンタルクリニック
院長 西尾 良介 先生

ウィ・スマイル!
次のご希望/お悩みがある方に最適です!
すべて0円〜
※一部費用がかかる医院あり


前歯部の部分矯正のみの医院も多い中、ウィ・スマイル加盟医院では部分~全体矯正のどちらも対応しています。

マウスピース矯正はホームホワイトニングとの相性も抜群! 歯並びと歯の色合いを一緒にキレイに!※別途費用がかかります

マウスピース矯正メーカーの中には様々な
問題を引き起こす危険なものもあります。
特に「低価格」・「前歯だけ」・「通院不要」等を
標榜しているメーカーです。
日本矯正歯科学会では次の注意喚起を行っています。
これらの製品を使用することは、歯科医学的にも
非常に危険であるため、絶対に避けてください。


マウスピース矯正はワイヤー矯正と比較し適応症例が限定されていたりするなどの制限が
ありました。しかし、技術の進歩そして担当医の技術力向上により大きく変化しています。

※まずは初期治療が必要になるケースがあります。
対応している歯並びの一覧
すきっ歯
受け口
中心がずれている
ガタガタした歯並び
噛み合わせが深い
前歯が閉じない
出っ歯
※矯正歯科医師による診査診断の結果、適応できないケースもあります。


| 治療期間 | 4ヶ月目 | |||
|---|---|---|---|---|
| 治療費 | 23.1万円(税込) | 月額 | 1,925円~ | ※税込 ※分割手数料は別 |
前歯部のズレ(24歳)をマウスピース矯正で改善したケース。
矯正治療上のリスクとして、治療中の虫歯、歯根吸収、歯肉炎 ・歯周炎の発生などが考えられる。


| 治療期間 | 4ヶ月目 | |||
|---|---|---|---|---|
| 治療費 | 23.1万円(税込) | 月額 | 1,925円~ | ※税込 ※分割手数料は別 |
後戻りした歯(32歳)をマウスピース矯正で改善したケース。
矯正治療上のリスクとして、治療中の虫歯、歯根吸収、歯肉炎 ・歯周炎の発生などが考えられる。


| 治療期間 | 9ヶ月目 | |||
|---|---|---|---|---|
| 治療費 | 66万円(税込) | 月額 | 5,500円~ | ※税込 ※分割手数料は別 |
叢生の歯並び(28歳)をマウスピース矯正で改善したケース。
矯正治療上のリスクとして、治療中の虫歯、歯根吸収、歯肉炎 ・歯周炎の発生などが考えられる。


| 治療期間 | 11ヶ月目 | |||
|---|---|---|---|---|
| 治療費 | 88万円(税込) | 月額 | 7,340円~ | ※税込 ※分割手数料は別 |
上顎・下顎の叢生(35歳)をマウスピース型矯正装置で改善したケース。
矯正治療上のリスクとして、治療中の虫歯、歯根吸収、歯肉炎 ・歯周炎の発生などが考えられる。




治療期間に違いが出るの?
それは、 治療計画に関しての考え方の違いです。 ※治療期間や結果には個人差があります。
治療計画のシミュレーション例

治療期間2年半で終了
×90枚
治療期間1年で終了
×30枚
同じ症例であっても算出されるマウスピースの数が異なり 治療期間に1年6ヵ月の差が出ることも。
※歯並びの状況や患者さんの装置装着時間によって期間は異なります。
3~11ヵ月(平均動的期間)
※治療回数は、担当医と相談しながら決定します。
※治療期間には個人差があります。
最低1回のお試しあり
その他、8回・12回・18回・24回・30回・難症例
コースから選択
※初回で定めたコースで治療が終了しない場合、再度、歯科医師と相談のもと、追加のコースを設定します。
下記は出っ歯と叢生を治療したケース。
治療後に保定装置を使用しないと歯が後戻りするリスクがあります。



| 治療期間 | 4ヶ月目 | |||
|---|---|---|---|---|
| 治療費 | 35.2万円(税込) /月額2,940円~ | ※税込 ※分割手数料は別 |
||
上顎の前歯部(19歳)をマウスピース型矯正装置で改善したケース。矯正治療上のリスクとして、治療中の虫歯、歯根吸収、歯肉炎 ・歯周炎の発生などが考えられる。


| 治療期間 | 5.5ヶ月目 | |||
|---|---|---|---|---|
| 治療費 | 51.7万円(税込) / 月額4,310円~ | ※税込 ※分割手数料は別 |
||
上顎前歯部の叢生(27歳)をマウスピース型矯正装置で改善したケース。矯正治療上のリスクとして、治療中の虫歯、歯根吸収、歯肉炎 ・歯周炎の発生などが考えられる。

Eラインも整えられたらな…
ロゴボを整えたい・・・
ガミースマイルも気になる…
どうせならもっとキレイになりたい!
適応症例は限定されますがEライン・ロゴボ・ガミースマイルも整うことがあります!


Eラインとは、鼻先と顎先のラインのことです。このラインが獲得できると、バランスの整った顔立ち(フェイスライン)になります。かわいい、キレイ、かっこいい顔立ちですね。当院では、ただ歯をキレイに並べるだけでなく、顔貌の見た目も意識した矯正歯科治療を行います。
※適応症例は限定されます。
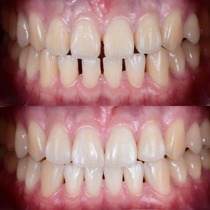
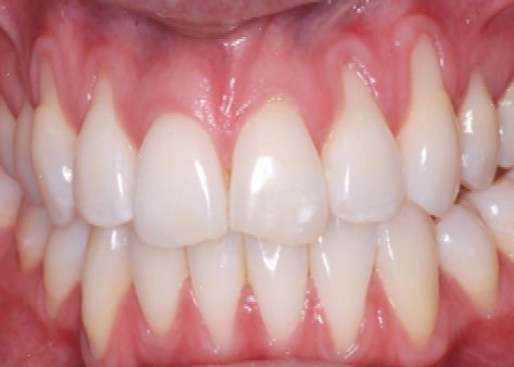
BEFORE
AFTER
BEFORE
AFTER


※初診料は0円~。費用は医院により異なる。
マウスピースを活用した矯正歯科治療とはマウスピース型カスタムメイド矯正装置を歯に装着して、乱れた歯並びや噛み合わせをキレイに改善する治療です。凸凹な歯並びや出っ歯、受け口、口元の突出などの噛み合わせの悪い歯並びを治します。
個人の症状や治療内容などによって異なりますが、1回コース:1,650円(税込)/8回コース:23.1万円(税込)/12回コース:35.2万円(税込)/
18回コース:51.7万円(税込)/24回コース:66万円(税込)/30回コース:88万円(税込)/難症例コース:別途お見積もりで提供しています(自費診療)。初診料は医院によって異なる。
【メリット】
【デメリット】


矯正治療に関してのブログとなります。偏りのない適切な情報をご提供します。
