
出っ歯をインビザラインで治したいけれど、本当に治るのか不安に感じている方は多いのではないでしょうか。
インビザラインは多くの出っ歯のケースで改善ができますが、出っ歯の原因や程度によっては対応が難しいケースもあるため、自分の状態に合った治療法を見極めることが大切です。
この記事では、インビザラインで出っ歯を治療できる条件や具体的な治療方法、メリット・デメリット、費用・期間の目安まで詳しく解説します。
- 1. インビザラインで「出っ歯」は本当に治せる?
- 1-1. 改善しやすい出っ歯
- 1-2. 治療が難しい出っ歯
- 2. インビザラインの出っ歯治療に抜歯は必要?
- 2-1. 抜歯が必要になる出っ歯のケース
- 2-2. 抜歯せず治療できる出っ歯のケース
- 3. 【症例紹介】インビザライン矯正による出っ歯治療の実例
- 症例①|前歯の突出感(出っ歯)と歯の重なりをインビザラインで改善した症例
- 4. 出っ歯をインビザラインで治療するメリットとデメリット
- 4-1. メリット|出っ歯治療でインビザラインが選ばれる理由
- 4-2. デメリットと注意点|出っ歯治療で気をつけたいポイント
- 5. インビザライン矯正による出っ歯治療の期間・費用の目安
- 5-1. 治療期間の目安
- 5-2. 費用相場
- 6. インビザラインによる出っ歯治療のよくある質問
- Q1. インビザライン治療で出っ歯になることはありますか?
- Q2. インビザラインで出っ歯が治せない場合はありますか?
- Q3. インビザラインで出っ歯を治すとき、抜歯は絶対に必要ですか?
- 7. まとめ|インビザラインによる出っ歯治療で後悔しないために
1. インビザラインで「出っ歯」は本当に治せる?

上の前歯が前方に突き出て見えたり、横から見たときに口元が出ているように感じる「出っ歯」。
出っ歯は多くのケースでインビザラインによる治療が可能です。
ただし、出っ歯の原因や程度によってはインビザラインで改善しやすいケースと、難しいケースがあります。
🦷出っ歯の主な原因
✅ 歯性出っ歯(歯の傾きや位置が原因)
✅ 骨格性出っ歯(上顎が前に出ている・下顎が後ろに位置している)
✅ 上下顎前突(上下の歯がともに前に出ている)
ここからは、改善しやすいケースと治療が難しいケースについて詳しく解説します。
1-1. 改善しやすい出っ歯
インビザラインで比較的改善しやすいのは、歯性出っ歯を中心としたケースです。
🦷インビザラインで改善しやすい歯性出っ歯の特徴
✅ 前歯の傾きが主な原因になっている
✅ 軽度〜中等度の出っ歯である
✅ 抜歯やIPR(歯を少し削ってスペースを作る処置)で歯を後方に下げるスペースが確保できる
このようなケースでは、マウスピースによる歯の移動だけで口元の印象が大きく変わることも珍しくありません。
また、軽度であれば骨格に問題がある「骨格性上顎前突」でも治療が可能な場合があります。
さらに近年では、アンカースクリューや顎間ゴムなどの補助装置を組み合わせることで、インビザラインでもより高精度な歯の動きが実現できるようになっています。
1-2. 治療が難しい出っ歯
一方で、インビザラインだけでの出っ歯の治療が難しくなるのは、骨格性出っ歯の要素が強いケースです。
🦷インビザラインだけで治療が難しい出っ歯の特徴
✅ 顎の前後差が大きく、骨格そのもののズレが原因になっている
✅ 歯を後退させるためのスペースが確保できない
✅ 横顔から見たときの口元の突出感が顕著である
このように骨格が主な原因となっている場合、インビザラインで歯並びを整えることはできても、口元の突出感が十分に改善しない可能性があります。
そのような場合はワイヤー矯正での治療が適していたり、重度のケースでは外科矯正と併用したりすることもあります。
出っ歯のタイプに合わせて、複数の治療方法から適した治療を検討することが大切です。
【合わせて読みたい】
2. インビザラインの出っ歯治療に抜歯は必要?

出っ歯のインビザライン治療で、多くの方が気になるのが「抜歯が必要かどうか」。
実際には、抜歯が必要なケースと必要でないケースの両方があり、出っ歯の原因・程度・歯並び全体のバランスによって判断が変わります。
ここでは、出っ歯をインビザラインで治療する際の抜歯の有無について詳しく解説します。
2-1. 抜歯が必要になる出っ歯のケース
以下のような状況では、抜歯が検討されることがあります。
🦷抜歯が必要な出っ歯
✅ 歯を後方に移動させるためのスペースが足りない
✅ 上下顎前突で、口元全体を後ろに下げる必要がある
✅ 叢生(歯のガタつき)も強い
抜歯する際、多くの場合は、一般的に小臼歯(前から4番目や5番目の歯)を抜いてスペースを確保し、前歯を後ろに移動させる治療になります。
抜歯を伴うインビザライン治療は、治療計画の精度と歯科医師の経験が仕上がりに大きく影響します。
抜歯症例の実績が豊富な歯科医院でしっかりと相談することが、満足のいく結果につながる重要なポイントです。
【合わせて読みたい】
2-2. 抜歯せず治療できる出っ歯のケース
出っ歯の程度が軽度〜中等度であれば、抜歯をせずにインビザラインで治療できるケースも多くあります。
🦷抜歯なしで治療できる出っ歯
✅ 歯性出っ歯が主な原因になっている
✅ 前歯の傾きを改善することで突出感が軽減できる
✅ 歯列全体にわずかなスペースの余裕がある
✅ IPR(歯間を少し削ってスペースを作る処置)で対応できる
IPRとは、歯と歯の隣接面をわずかに削ることで数ミリ単位のスペースを生み出す方法です。
これにより抜歯せずに前歯を後ろに移動させられることがあります。
ただし、無理に抜歯しないことにこだわると前歯が十分に下がらなかったり、治療後に後戻りが起きやすくなるリスクもあります。
3. 【症例紹介】インビザライン矯正による出っ歯治療の実例
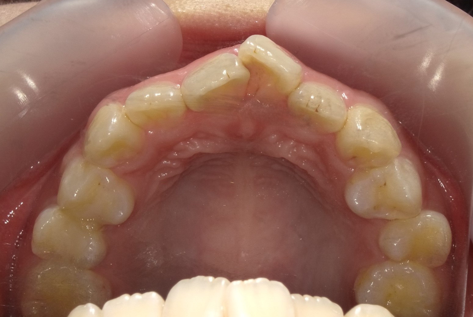
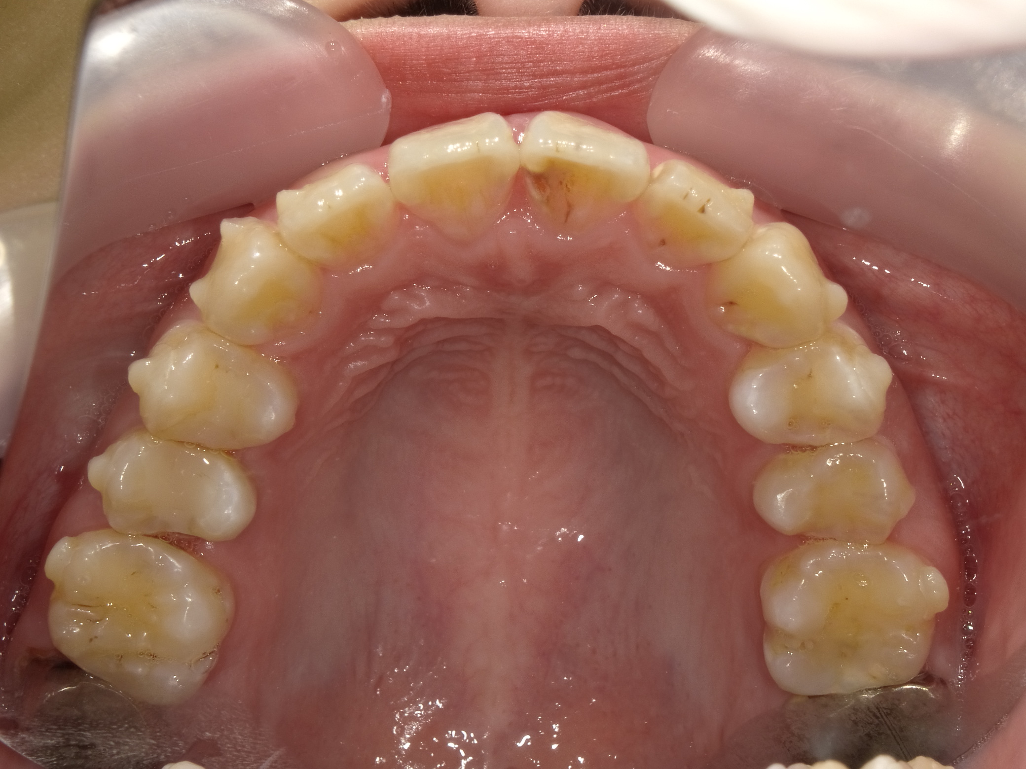
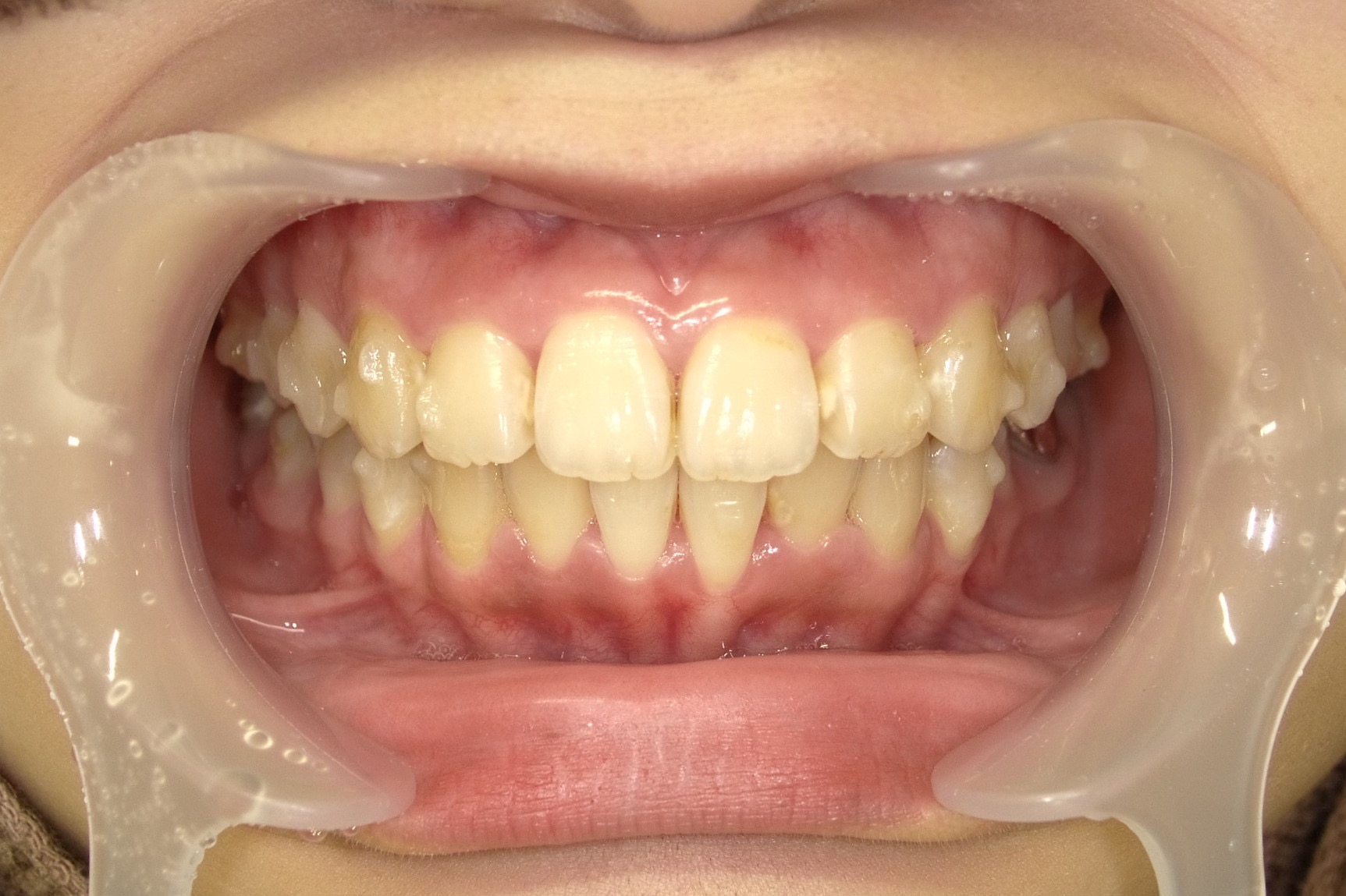
症例①|前歯の突出感(出っ歯)と歯の重なりをインビザラインで改善した症例
前歯の突出感(出っ歯)と、下の歯の重なり(叢生)を併発していた状態を、インビザラインで治療したケースです。
■ 治療前の状態(Before)
治療前は上顎前歯の突出感が目立ち、前歯が前方に傾いている状態でした。
あわせて下顎の歯並びには重なり(叢生)も見られ、歯列全体のバランスが乱れていました。
■ 治療後の状態(After)
インビザライン矯正により前歯の傾きが改善され、歯列のアーチが整ったことで出っ歯の印象が軽減しました。
また、下顎の歯の重なりも解消され、歯並び全体がすっきりと整った状態になっています。
■ 治療内容の概要
治療方法:マウスピース型矯正装置(インビザライン)
治療期間:6ヶ月
■ 矯正治療に伴うリスク・注意点
歯列矯正に伴う疼痛・咬合痛・う蝕・歯肉退縮などが考えられます。
※治療期間や費用については個人差があります。
4. 出っ歯をインビザラインで治療するメリットとデメリット

出っ歯を治したいと思ったとき、インビザラインは選択肢のひとつです。
ただし、後悔しない治療のためには自分の出っ歯の治療にインビザラインが本当に合っているのかを見極めることが大切です。
ここではインビザラインによる出っ歯治療ののメリットとデメリットをご紹介します。
4-1. メリット|出っ歯治療でインビザラインが選ばれる理由
① 装置が目立ちにくく、日常生活への影響が少ない
インビザラインは透明なマウスピース型の矯正装置のため、装着していても外から気づかれにくく、人前に立つ機会が多い方でも始めやすい矯正方法です。
また、ワイヤー矯正は強い力で歯を動かすため痛みや違和感を感じやすいですが、インビザラインは比較的弱い力でゆっくりと動かすため、痛みを感じにくい傾向があります。
出っ歯が気になりながらも、矯正をためらっていた方にとって、心理的なハードルが下がりやすい矯正方法でしょう。
② 前歯の傾きや位置を細かくコントロールできる
インビザラインは、歯の傾きや位置を段階的にコントロールする点に優れており、前歯を後ろに下げる治療に適した矯正方法です。
そのため、軽度〜中等度の出っ歯であれば抜歯を行わずに改善できるケースも多くあります。
③ 取り外し可能で口腔内を清潔に保ちやすい
着脱できないワイヤー矯正と異なり、インビザラインは食事や歯磨きのときに取り外すことができます。
食事制限が少なく、歯ブラシやフロスも普段どおり使えるため、矯正中でも口腔内を清潔に保ちやすいのが大きなメリットです。
虫歯や歯周病のリスクを抑えやすいことは、長期間の矯正治療において特に重要なポイントです。
④ 治療後のイメージを事前に確認できる
インビザラインでは、治療を始める前に歯の動きをシミュレーションで確認することができます。
出っ歯がどの程度改善されるか、歯並びがどう変化するかを事前に把握できるため、治療後のゴールをイメージしやすく、安心して治療をスタートできます。
⑤ アタッチメントにより歯根の動きまでコントロールしやすい
インビザライン治療では、歯の表面に小さな突起(アタッチメント)を付けることで、歯にかかる力の方向や持続性を調整できます。
これにより、出っ歯の改善に必要な歯の移動をより効率よく行うことが可能になります。
なお、インビザライン以外のマウスピース矯正ではアタッチメントを使用できないものもあるため、同じマウスピース矯正でも治療の精度に差が出ることがあります。
4-2. デメリットと注意点|出っ歯治療で気をつけたいポイント
インビザラインは条件が合えば出っ歯の改善に非常に有効な矯正方法ですが、誰にでも最適とは限りません。
メリットだけでなくデメリットや注意点もしっかり理解したうえで、自分の出っ歯の状態に合った治療方法を見極めることが後悔のない矯正治療につながります。
① 装着時間を守らないと効果が出にくい
インビザラインは1日20〜22時間程度の装着が必要とされています。
装着時間が不足すると歯が計画通りに動かず、治療期間が延びてしまったり、出っ歯の改善が不十分になったりする可能性があります。
② インビザラインが適用できない出っ歯もある
インビザラインは歯を大きく平行移動させることや、顎の骨の位置を変えることが苦手です。
そのため、中等度以上の骨格性出っ歯では、ワイヤー矯正や他の治療法のほうが適しているケースもあります。
③ 歯科医院の経験・治療計画の質に左右される
インビザラインによる出っ歯治療は、治療計画の立て方や歯科医師の経験によって結果に大きな差が出やすい治療です。
出っ歯の症例実績が豊富な歯科医院を選び、治療内容や想定される変化について十分な説明を受けることが大切です。
【合わせて読みたい】
5. インビザライン矯正による出っ歯治療の期間・費用の目安

インビザラインによる出っ歯の治療を検討するときに治療期間と費用は気になるポイント。
症例や治療内容によって異なりますが、ここでは一般的な治療期間と費用の目安をご紹介します。
5-1. 治療期間の目安
インビザラインで出っ歯を治療する場合、一般的な治療期間の目安はおよそ1年〜2年程度です。
また、マウスピースの装着時間が不足すると治療期間が延びる可能性があるため、日々の自己管理も重要です。
🦷インビザラインによる治療期間の目安
✅ 軽度の出っ歯:1年未満で治療が完了することもある
✅ 中等度の出っ歯:1年〜2年程度が目安
✅ 外科矯正が必要な重度のケース:3年前後かかる場合もある
※インビザラインで出っ歯を治療する期間は、症例や状態により個人差があります。
5-2. 費用相場
インビザラインで出っ歯を治す費用は、治療内容や症例によって変動しますが、おおよそ30万円〜100万円前後が一般的な相場とされています。
なお、以下の処置については別途費用がかかる歯科医院が多いため、事前に確認しておくことをおすすめします。
🦷別途費用がかかる場合があるもの
✅ 顎間ゴムやアタッチメントの使用
✅ IPR(歯間削合)や抜歯
✅ 治療終了後の保定装置
【合わせて読みたい】
6. インビザラインによる出っ歯治療のよくある質問

Q1. インビザライン治療で出っ歯になることはありますか?
A. 適切な治療計画のもとで行われていれば、インビザライン治療によって出っ歯になる可能性は低いです。
ただし、以下のような状況では一時的に前歯が前に出たように感じることがあります。
✅ 治療途中で歯の移動段階に差がある場合
✅ 奥歯の噛み合わせを調整している途中
✅ 装着時間が不足し、計画どおりに歯が動いていない場合
また、治療計画が適切でなかったり、歯科医師の経験が不足していたりすると、理想的な結果が得られないケースもあります。
何か不安を感じたときは、早めに担当の歯科医師へ相談することが大切です。
【合わせて読みたい】
Q2. インビザラインで出っ歯が治せない場合はありますか?
A. 出っ歯の原因や程度によっては、インビザラインだけでの治療が難しい場合があります。
骨格性出っ歯の要素が強いケースや、歯を大きく動かす必要があるケースでは、インビザラインだけでは口元の突出感が十分に改善しない可能性があるため注意が必要です。
Q3. インビザラインで出っ歯を治すとき、抜歯は絶対に必要ですか?
A. 必ずしも抜歯が必要なわけではありません。
ただし、前歯の突出が大きい場合やスペースの確保が必要な場合は、抜歯を検討することもあります。
抜歯の有無は、精密な診断のうえで判断する必要があるため、症例実績があり治療計画を丁寧に説明してくれる歯科医院で相談することが重要です。
【合わせて読みたい】
7. まとめ|インビザラインによる出っ歯治療で後悔しないために
インビザラインは、条件が合えば出っ歯の改善に非常に有効な矯正方法です。
特に歯の傾きや位置が原因となっている歯性出っ歯や、軽度〜中等度の出っ歯は、目立ちにくく日常生活への影響を最小限に抑えながら治療を進められるのが大きなメリットです。
近年ではアタッチメントや顎間ゴムなどを使うことで、以前は対応が難しいとされていた症例でも改善できるケースが増えています。
ただし、骨格が主な原因の強い骨格性出っ歯や、前歯の突出が大きいケースでは、インビザラインだけでの対応が難しいこともあります。
また、インビザラインによる出っ歯治療は、治療計画の精度や歯科医師の経験によって結果に差が出やすい治療でもあります。
そのため、出っ歯の症例実績が豊富で、メリットだけでなくデメリットや注意点まで丁寧に説明してくれる歯科医院を選ぶことがとても大切です。
まずは自分の歯並びがインビザラインに適しているかを正しく診断してもらうことから始めてみましょう。
\信頼できる矯正医を探すなら
「WE SMILE」/


























