
八重歯が気になった時、インビザラインによるマウスピース矯正で治せないかと考えている方は多いのではないでしょうか?
八重歯はインビザラインで改善できる可能性がありますが、すべてのケースに適しているわけではありません。
歯の重なりの程度や顎のスペース、噛み合わせの状態などによって、治療できるかどうかが変わってきます。
この記事では、インビザラインで八重歯を治せるケースと難しいケース、具体的な治療方法や費用・期間の目安、メリット・デメリットまでをわかりやすく解説します。
- 1. インビザラインで八重歯は治せる?
- 1-1. インビザラインが適している八重歯
- 1-2. インビザラインでの治療が難しい八重歯
- 2. インビザラインで八重歯を治す5つの治療方法
- 2-1. 非抜歯で歯列を横に広げる方法(側方拡大)
- 2-2. 非抜歯で奥歯を後ろに動かす方法(臼歯遠心移動)
- 2-3. 歯の側面を少し削ってスペースをつくる方法(IPR)
- 2-4. 歯を抜いてスペースを確保する方法(抜歯治療)
- 2-5. 複数の治療方法を組み合わせるケース(併用治療)
- 3. 【症例紹介】インビザライン矯正による八重歯治療の実例
- 症例①|八重歯を伴う前歯部叢生をインビザラインで改善した症例
- 症例②|抜歯せずに八重歯をインビザラインで改善した症例
- 4. インビザラインで八重歯を治す費用と期間の目安
- 4-1. 費用相場
- 4-2. 治療期間の目安
- 5. インビザラインで八重歯を治すメリットとデメリット
- 5-1. インビザラインで八重歯を治すメリット
- 5-2. インビザラインで八重歯を治すデメリットと注意点
- 6. インビザラインによる八重歯治療に関するよくあるご質問
- Q1. 八重歯を放置するとどうなる?
- Q2. インビザラインの八重歯治療で抜歯は必ず必要?
- Q3. インビザラインで八重歯を治せない場合は?
- 7. まとめ|インビザラインで八重歯を治したい人へ
1. インビザラインで八重歯は治せる?

八重歯の状態によってはインビザラインでの治療が可能です。ただし、すべての八重歯に対応できるわけではありません。
そもそも八重歯とは、歯が並ぶスペースが足りず、犬歯(前から3番目の歯)が歯列から外側へ飛び出している状態です。
医学的には「叢生(そうせい)」と呼ばれる歯並びの一種で、歯列のスペース不足や、顎が小さい・歯が大きいといった骨格的な要因が主な原因とされています。
インビザラインで八重歯を治せるかどうかは、歯の重なりの強さ・顎のスペース・噛み合わせの状態などを総合的に判断する必要があります。
【合わせて読みたい】
八重歯とは?生える原因、犬歯との違い、治療の必要性を解説
叢生(ガタガタな歯並び)とは?放置するリスクや矯正治療の種類・費用を徹底解説!
1-1. インビザラインが適している八重歯
インビザラインが比較的適しているのは、軽度〜中等度の八重歯で、以下のような特徴があります。
✅ 歯の重なりが軽度~中等度で、歯列の乱れが大きくない
✅ 顎の中にある程度のスペースが残っている
✅ 犬歯の飛び出しが強すぎず、歯の移動距離が比較的短い
✅ 骨格的なズレが少なく、噛み合わせに大きな問題がない
1-2. インビザラインでの治療が難しい八重歯
一方、以下のような特徴の八重歯はインビザラインだけでの治療が難しいと判断される場合があります。
✅ 歯の重なりが非常に強く、歯列から大きく外れている
✅ 顎の骨に十分なスペースがなく、歯を並べる余地が少ない
✅ 重度の骨格性の問題(顎の前後差・左右差)を伴っている
✅ 犬歯の位置が高く、歯の移動距離が大きい
このような八重歯の場合は、インビザライン+抜歯を伴う治療やワイヤー矯正との併用が検討されるケースもあります。
いずれにせよ、インビザラインで八重歯を治せるかどうかは自分で判断できるものではありません。
歯科医師による精密検査を受ける必要があります。
2. インビザラインで八重歯を治す5つの治療方法

インビザラインによる八重歯治療では、歯が収まるためのスペースをどう確保するかが最大のポイントになります。
スペースを確保する方法はいくつかあり、実際にどの方法が適しているかは、歯並び・顎の状態・噛み合わせによって異なります。
ここでは、インビザラインで八重歯を治す代表的な5つの方法を解説します。
2-1. 非抜歯で歯列を横に広げる方法(側方拡大)
側方拡大とは、抜歯をせずに歯列を外側(頬側)へ広げることでスペースを確保する方法です。
歯の重なりが比較的軽度で顎の骨格に大きな問題がない場合に適しています。
ただし、側方拡大は顎の骨自体を広げる治療ではないため、拡大できる範囲には限界があります。
十分なスペースが確保できない場合は、他の治療方法と組み合わせて行われることもあります。
2-2. 非抜歯で奥歯を後ろに動かす方法(臼歯遠心移動)
臼歯遠心移動とは、抜歯をせずに奥歯を後方へ移動させることで、歯列全体にスペースをつくる方法です。
マウスピース矯正は遠心移動を比較的得意としているため、インビザラインでもよく行われます。
奥歯の後ろにある程度の余裕がある場合や、親知らずが出てきていない場合、または抜歯できる状態にある場合に適しています。
なお、親知らずがすでに生えている場合は、スペース確保のために親知らずを抜歯することもあります。
2-3. 歯の側面を少し削ってスペースをつくる方法(IPR)
IPR(ストリッピング/ディスキング)とは、歯と歯の間をわずかに削ってスペースを確保する方法です。
削る量は歯の片側で最大0.25mm程度で、歯の表面を覆うエナメル質の厚みは約1〜3mmあるため、適切に行えば歯の健康に大きな悪影響はなく、痛みも出にくい治療です。
八重歯や歯並びの状態に応じて削る本数は異なりますが、全歯にIPRを行った場合、合計で約6.5mm前後(小臼歯1本分程度)のスペースを確保できます。
このスペースだけで歯が並べられる場合は、抜歯をせずに八重歯の治療ができることもあります。
2-4. 歯を抜いてスペースを確保する方法(抜歯治療)
八重歯の重なりが強い場合や、歯列から大きく外れている場合では、抜歯によってスペースを確保することがあります。
一般的には、第一小臼歯または第二小臼歯(前から4番目・5番目の歯)を抜歯するケースが多く、左右で抜歯すれば約14〜16mm程度の大きなスペースを確保できます。
このスペースを利用して、八重歯として生えている犬歯を正しい位置に移動させます。
場合によっては歯並びや噛み合わせを長期的に安定させるために、抜歯が最適な選択肢になることもあります。
【合わせて読みたい】
矯正で抜歯は本当に必要?抜歯矯正と非抜歯矯正の違いを徹底解説!
2-5. 複数の治療方法を組み合わせるケース(併用治療)
実際の八重歯治療は、1つの方法だけで完結するとは限りません。
2-1〜2-4でご紹介した方法を複数組み合わせて治療を進めることも多く、八重歯の重症度や歯列全体のバランスによって、最適な組み合わせは異なります。
また、状態や治療の目的によっては、インビザラインとワイヤー矯正を併用するハイブリッド矯正が選択されることもあります。
3. 【症例紹介】インビザライン矯正による八重歯治療の実例
症例①|八重歯を伴う前歯部叢生をインビザラインで改善した症例
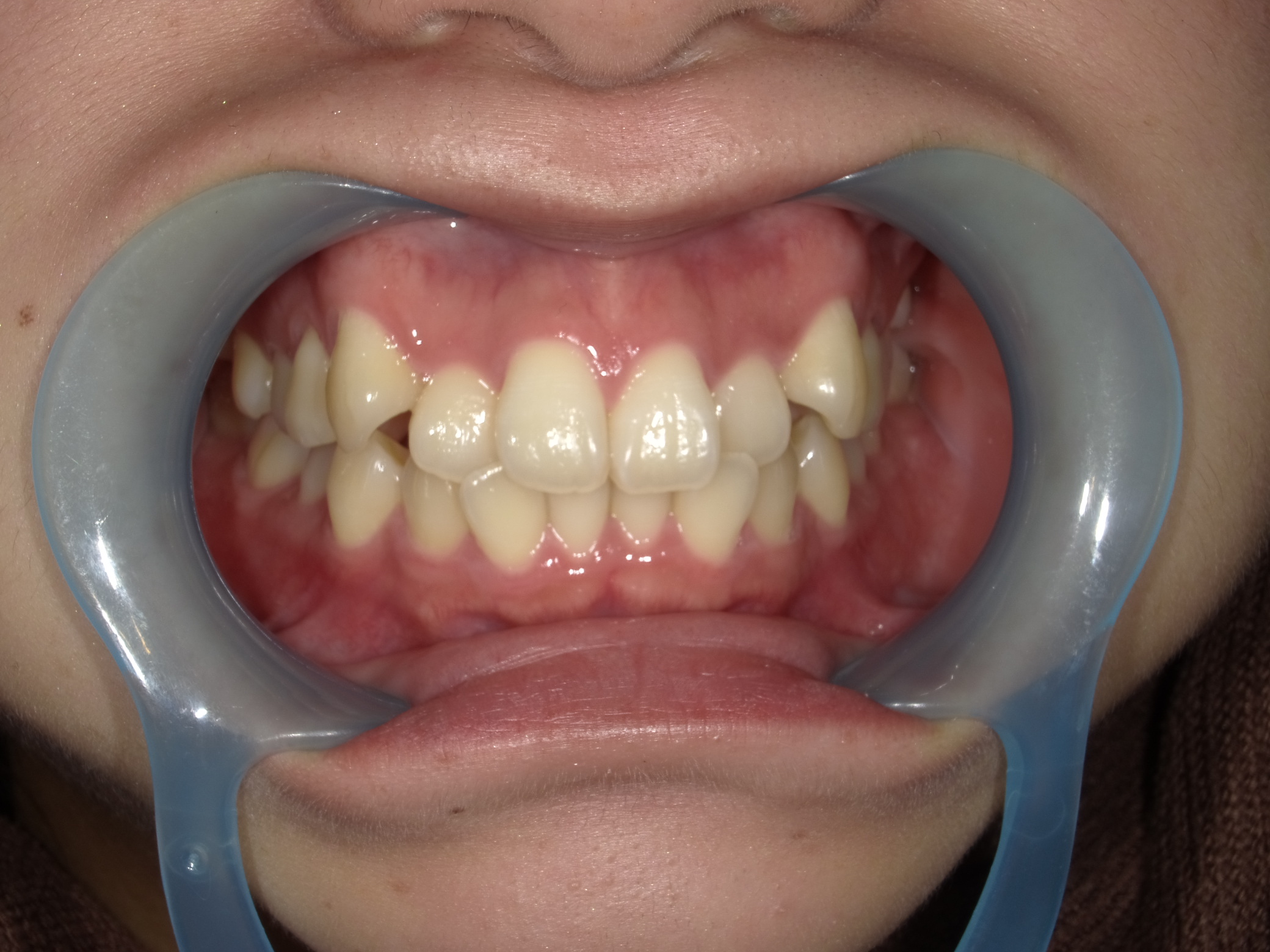
◾️治療前の状態(Before)
上顎前歯部に八重歯(叢生)が見られ、犬歯が歯列から外側に突出している状態。
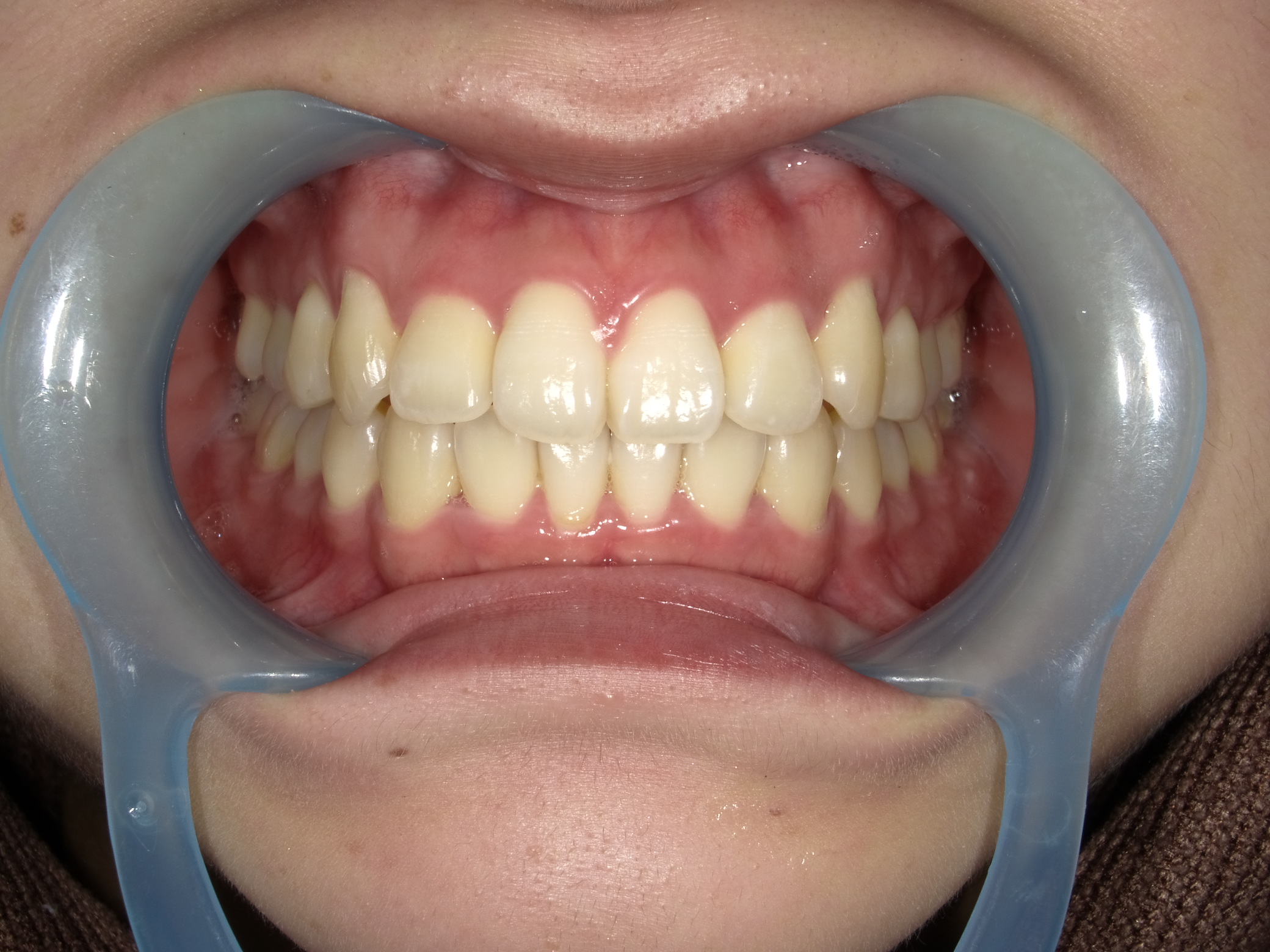
◾️治療後の状態(After)
インビザライン矯正により前歯部の歯の重なりが解消され、犬歯を含む前歯が歯列内に収まりました。
前歯の突出感(出っ歯の印象)も軽減され、全体として自然で違和感の少ない歯並びに仕上がった症例です。
◾️治療内容の概要
治療方法:マウスピース型矯正装置(インビザライン)
治療期間:6ヶ月
◾️矯正治療に伴うリスク・注意点
歯列矯正中に伴う疼痛・咬合痛・う蝕・歯肉退縮などのリスクがあります。治療期間や費用については個人差があります。
症例②|抜歯せずに八重歯をインビザラインで改善した症例
「できるだけ歯を抜かずに八重歯を治したい」という患者様のご希望に応え、非抜歯でのインビザラインで改善したケースです。
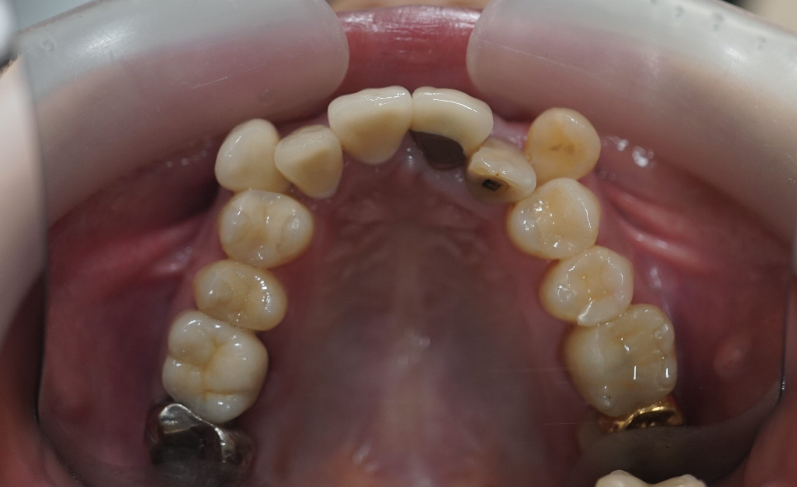
◾️治療前の状態(Before)
上顎前歯部に八重歯(叢生)が見られ、犬歯を含む前歯が歯列から外側にずれて生えている状態。
歯の重なりにより歯列のアーチが乱れ、八重歯が目立つことに加え、歯磨きもしにくい状況でした。
◾️治療後の状態(After)
インビザライン矯正により、前歯の歯の重なりが解消され、犬歯を含む前歯が歯列内にきれいに収まりました。
歯列のアーチも整い、八重歯による突出感も改善しています。
◾️治療内容の概要
治療方法:マウスピース型矯正装置(インビザライン)
治療期間:8ヶ月
◾️矯正治療に伴うリスク・注意点
歯列矯正中に伴う疼痛・咬合痛・う蝕・歯肉退縮などのリスクがあります。治療期間や費用については個人差があります。
4. インビザラインで八重歯を治す費用と期間の目安

インビザラインで八重歯を治療する場合の費用と期間は、歯並びの状態や治療方法によって大きく異なります。
ここでは、目安となる費用相場と治療期間の相場をご紹介します。
4-1. 費用相場
八重歯をインビザラインで治療する際にかかる費用の目安は、約30〜100万円程度です。費用は以下のような要因によって変動します。
◾️費用が変動する主な要因
✅ 八重歯の重症度
✅ 抜歯の有無
✅ 全体矯正か部分矯正か
✅ 治療に必要なマウスピースの枚数
◾️一般的な費用相場
部分矯正:30万〜60万円前後
全体矯正:70万〜100万円前後
IPRや軽度の歯列調整のみで対応できる場合は費用を抑えられることがありますが、重度のケースや抜歯を伴う場合は費用も高くなる傾向があります。
【合わせて読みたい】
八重歯の矯正方法と費用│費用の内訳や後悔する可能性について解説
4-2. 治療期間の目安
インビザラインで八重歯を治療する場合の期間は、全体矯正では約1年半〜2年ほどが目安です。歯並びの状態や治療方法によって個人差があります。
◾️治療期間の目安
部分矯正:半年〜1年前後
全体矯正:1〜3年前後
軽度の八重歯であれば比較的短期間での改善が期待できますが、中等度〜重度の八重歯では奥歯の移動や抜歯後のスペース閉鎖などに時間がかかる傾向があります。
また、インビザラインは1日20時間以上の装着を継続できるかも治療期間に大きく影響します。
【合わせて読みたい】
マウスピース矯正の治療期間はどのくらい?平均期間と長引く原因を解説
5. インビザラインで八重歯を治すメリットとデメリット

インビザラインには、見た目が目立ちにくい・取り外しができるなど多くのメリットがある一方、すべての八重歯に対応できるわけではないというデメリットもあります。
ここでは、治療を検討する前に知っておきたいインビザラインのメリット・デメリットをご紹介します。
5-1. インビザラインで八重歯を治すメリット
①矯正装置が目立ちにくい
インビザラインは透明なマウスピース型の矯正装置のため、装着していても周囲に気づかれにくいのが大きな特長です。
八重歯が気になって矯正をためらっていた方でも、見た目のストレスを抑えながら進めやすい治療です。
②取り外しができ、日常生活への影響が少ない
食事や歯磨きの際にマウスピースを外せるため、普段どおりの食事や口腔ケアがしやすいのも特徴のひとつです。
ワイヤー矯正に比べ装置に食べ物が詰まる心配も少なく、口の中を清潔に保ちやすい点はメリットです。
③治療の仕上がりを事前に確認できる
インビザラインは治療開始前に歯の動きを3Dシミュレーションで確認できます。
自分の八重歯がどのように歯列内へ収まっていくのかを事前に把握できることは、治療への安心感につながります。
④痛みや違和感が比較的少ない傾向がある
インビザラインは歯を少しずつ段階的に動かすため、ワイヤー矯正と比べて痛みが出にくい傾向があります。ただし、痛みの感じ方には個人差があります。
5-2. インビザラインで八重歯を治すデメリットと注意点
①適応できない八重歯がある
歯の重なりが非常に強い場合や、骨格的な問題を伴う八重歯はインビザラインだけでの治療が難しいことがあります。
その場合、抜歯治療やワイヤー矯正との併用・追加処置が検討されることもあります。
②装着時間を守らないと効果が出にくい
インビザラインは1日20時間以上の装着が必要です。
装着時間が不足すると、歯が計画どおりに動かず、治療期間の延長や再調整が必要になる可能性があります。
③治療中に追加費用が発生することがある
治療計画の修正やマウスピースの再作製が必要になった場合、追加費用が発生するケースもあります。
費用については事前に総額と追加費用の有無を確認しておくことが重要です。
④医師の経験によって仕上がりに差が出る
インビザラインはデジタル矯正である一方、治療計画の立案は歯科医師の経験と判断に大きく左右されます。
八重歯の症例実績が豊富な医院を選ぶことが、満足のいく治療結果につながります。
複数の医院でカウンセリングを受けて比較することもひとつの方法です。
【合わせて読みたい】
歯列矯正の種類を解説!メリット・デメリット、矯正方法を選ぶポイント
6. インビザラインによる八重歯治療に関するよくあるご質問

Q1. 八重歯を放置するとどうなる?
八重歯を放置した場合、見た目の問題だけでなく口腔内のトラブルにつながる可能性があります。
◾️八重歯を放置した場合によくあるリスク
✅ 歯が重なっている部分に汚れがたまりやすく、虫歯や歯周病のリスクが高まる
✅ 噛み合わせのバランスが悪くなり、顎や歯に余計な負担がかかる
✅ 将来的に歯並びがさらに乱れ、治療が難しくなることがある
必ずしもすぐに治療が必要というわけではありませんが、気になっている場合は早めに歯科医師に相談することをおすすめします。
Q2. インビザラインの八重歯治療で抜歯は必ず必要?
すべての八重歯治療で抜歯が必要なわけではありません。
歯の重なりが軽度〜中等度であれば、側方拡大・奥歯の後方移動・IPRなどを組み合わせて非抜歯で治療できるケースも多くあります。
一方、歯列から大きく外れているケースや顎のスペースが著しく不足している場合は、抜歯が最適な選択肢となることもあります。
抜歯の有無は、歯並び全体のバランスや噛み合わせを考慮したうえで歯科医師が判断します。
Q3. インビザラインで八重歯を治せない場合は?
インビザラインだけでの治療が難しいと判断された場合でも、以下のような治療の選択肢があります。
✅ 抜歯を併用した矯正治療
✅ ワイヤー矯正との併用(ハイブリッド矯正)
✅ ワイヤー矯正による全体矯正
歯並びの状態に応じた方法を歯科医師と相談しながら、自分に合った治療方法を選ぶことが重要です。
【合わせて読みたい】
インビザラインができない症例とは?適応外のケースの対処法
7. まとめ|インビザラインで八重歯を治したい人へ
インビザラインは、八重歯の状態によっては有効な治療方法となる矯正装置です。
軽度〜中等度の八重歯であれば、抜歯をせずに歯並びを整えられる可能性もあります。
ただし、インビザライン単独での治療が難しく、抜歯治療やワイヤー矯正との併用が適しているケースもあります。
インビザラインで八重歯を治せるかどうかは、精密検査と専門の歯科医師による診断が欠かせません。
自分の八重歯はインビザラインで治せるのか気になっている方は、まずはカウンセリングを受けることが大切です。
\信頼できる矯正医を探すなら
「WE SMILE」/


























