- この記事の監修者
-
歯科医師。医療法人社団ピュアスマイル理事長。インビザライン ブラックダイヤモンドドクター。インビザライン世界サミット23万人いるインビザラインドクターの中からトッププロバイダーの1人に選出。
https://purerio.tokyo/

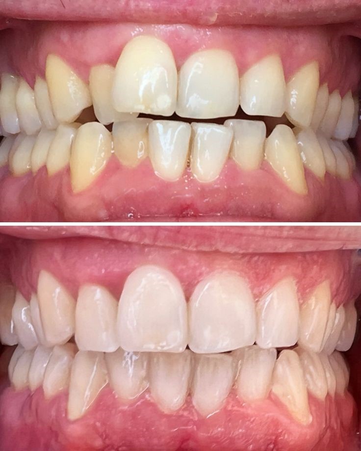
テレビを見ていると、芸能人の方の白く整った歯に憧れることはありませんか。
「自分もあんなきれいな歯並びになれたら…」と思い、矯正を検討している方も多いのではないでしょうか。
そんな芸能人の方に人気の矯正が「セラミック矯正」です。
短期間で見た目を大きく改善できるため、忙しい方にも取り組みやすい矯正方法と言えるでしょう。
セラミック矯正はどんな矯正治療なのでしょうか。
通常の歯科矯正とは何が違うのか、費用はどれくらいかかるのかなど、本記事ではセラミック矯正について気になるポイントをまとめました。
\信頼できる矯正医を探すなら
「WE SMILE」/
- 1. セラミック矯正とは?仕組みと特徴
- 1-1. 歯を動かさず、被せ物で整える治療法
- 1-2. 理想の色・形に整えられる審美性
- 1-3. 最短どれくらい?治療期間の目安
- 2. セラミック矯正と通常の矯正治療(ワイヤー・マウスピース)を徹底比較
- 3. セラミック矯正のメリット
- 3-1. 短期間で見た目を整えやすい
- 3-2. 色や形を理想に近づけやすい
- 3-3. 症例によっては通院回数が少ない
- 4. セラミック矯正のデメリット・リスク
- 4-1. 健康な歯を削る必要がある
- 4-2. 神経を取る可能性があるケースも
- 4-3. やり直しが難しい・将来的な負担
- 4-4. 噛み合わせの根本改善ではない場合がある
- 5. セラミック矯正が向いている人・向いていない人
- 5-1. 向いている人
- 5-2. 向いていない人
- 6. セラミック矯正がおすすめなケースと「出っ歯」への対応
- 6-1. セラミック矯正が特におすすめなケース
- 6-2.「出っ歯(上顎前突)」への対応と判断基準
- 7. まとめ:セラミック矯正は“目的次第”。比較して決めることが大切
1. セラミック矯正とは?仕組みと特徴

まず、セラミック矯正とはどんな治療なのか、仕組みや特徴を見ていきましょう。
1-1. 歯を動かさず、被せ物で整える治療法
セラミック矯正は、ワイヤーやマウスピースのように装置で歯を少しずつ動かす治療ではありません。
自分の歯を削り、その上からセラミック製の被せ物(クラウン)を装着することで、歯並びを整えたように見せる治療法です。
歯科医学的には「矯正治療」ではなく、インプラントやブリッジと同じ“補綴(ほてつ)治療”に分類されます。
つまり、歯の根の位置はそのままに、上から被せる人工歯の形・厚み・角度を調整することで、理想的な歯列アーチに見せる方法です。
見た目の変化が大きく、短期間で整った口元を実現できるのが特徴です。
1-2. 理想の色・形に整えられる審美性
セラミック矯正の大きな魅力は、歯並びだけでなく「色」「形」「大きさ」まで同時に整えられる点です。
通常の矯正治療では歯の位置は変えられても、歯の色や形そのものは変えられません。
しかしセラミック矯正では、以下のような悩みも一度に改善できます。
・ホワイトニングでは白くならない変色歯
・生まれつき小さい歯(矮小歯)
・形が不揃いな歯
・古い差し歯や詰め物の変色
オールセラミック(e.max)やジルコニアといった素材を使えば、天然歯に近い透明感や人工ダイヤモンドと称されるほどの強度を再現できます。
審美性を重視したい方にとっては大きなメリットといえるでしょう。
1-3. 最短どれくらい?治療期間の目安
通常の歯科矯正は1〜3年ほどかかるのが一般的です。
一方、セラミック矯正は最短で1日、平均でも1〜3ヶ月ほどで完了します。
「結婚式までに間に合わせたい」
「就職活動や人前に出る仕事を控えている」
このように期限がある場合には、大きな魅力になります。
歯にワイヤーやマウスピースを長期間装着する必要がないため、日常生活にも基本支障はありません。
また、歯を実際に動かしていないため、治療後に歯が元の位置に戻ろうとする“後戻り”は基本的に起こりません。
2. セラミック矯正と通常の矯正治療(ワイヤー・マウスピース)を徹底比較

セラミック矯正とワイヤー・マウスピース矯正は、治療の考え方そのものが異なります。
通常の矯正は、骨の代謝を利用して歯の根からゆっくり動かす方法です。
それに対し、セラミック矯正は歯を削って被せ物で形を整える補綴(ほてつ)治療です。
以下は、通常の矯正とセラミック矯正を比較した表です。
| 比較ポイント | 通常の矯正(ワイヤー・マウスピース) | セラミック矯正 |
|---|---|---|
| ①治療期間・通院回数 | 1〜3年(平均2年前後)。 1〜3ヶ月に1回の調整通院が継続 |
数週間〜3ヶ月(最短1日〜数回)で完了。 圧倒的に短期間 |
| ②歯への負担 | 健康な歯を基本的に削らない。 天然歯を最大限残せる |
被せ物装着のため歯を大きく削る(不可逆)。 場合により神経を抜く必要あり |
| ③改善できる範囲(見た目・色) | 改善できるのは歯並びのみ。 歯の色や形は変えられない |
並びだけでなく、歯の色・形・大きさまで トータルでデザイン可能 |
| ④痛み・日常生活への影響 | 歯が動く痛みあり。 装置による口内炎や清掃の難しさがある |
歯を動かす痛みはない。 処置は麻酔下で行うが、術後に知覚過敏の可能性あり |
| ⑤費用・治療後の維持 | 約60〜150万円(全体矯正)。 終了後はリテーナーが数年間必要 |
1本5〜20万円。 後戻りは基本なしだが、10〜15年後に再治療費の可能性 |
①治療期間・通院回数の違い
通常の矯正は、歯の根を骨の中でゆっくり動かすため、どうしても時間がかかります。
1〜3年という長期治療が前提で、定期的な調整通院も必要です。
一方、セラミック矯正は歯を動かさずに形を整える治療のため、最短1日〜数ヶ月で完了します。
「とにかく早く整えたい」という方にとっては大きなメリットになります。
②歯への負担の違い
通常矯正の最大の特徴は、健康な歯を削らずに治療できる点です。
天然歯を守りながら、時間をかけて整えていきます。
対してセラミック矯正は、被せ物の厚みを確保するために歯を削る必要があります。
これは元に戻せない処置であり、場合によっては神経を抜くこともあります。
「歯を守るか」「スピードと見た目を優先するか」が大きな分かれ目です。
③改善できる範囲の違い
通常の矯正で改善できるのは、あくまで歯並びです。
歯の色や形が気になる場合は、別途ホワイトニングや修復治療が必要になります。
セラミック矯正は、歯並び・色・形・大きさまでトータルで整えることができます。
ホワイトニングで白くならない歯も理想の白さにできるため、審美性を重視する方に向いています。
④痛み・日常生活への影響
通常矯正では、歯が動くたびに痛みが出ることがあります。
また、ワイヤー装置は口内炎や清掃のしにくさなど、日常生活への影響も少なくありません。
セラミック矯正は歯を動かさないため、矯正特有の痛みはありません。
処置は麻酔下で行われますが、術後に知覚過敏が出るケースはあります。
「長期間の違和感」か「短期的な処置」かという違いがあります。
⑤費用・治療後の維持の違い
通常矯正は総額で見ると高額ですが、歯そのものは守られます。
治療後は後戻り防止のためにリテーナーの装着が必要です。
セラミック矯正は1本あたりの費用で計算されるため、本数によって総額が大きく変わります。
また、セラミックの寿命は約10〜15年とされており、将来的な再治療費も視野に入れる必要があります。
3. セラミック矯正のメリット

セラミック矯正のメリット部分についてまとめました。
3-1. 短期間で見た目を整えやすい
セラミック矯正の最大のメリットは、何といってもスピードです。
1〜3年かかる通常矯正に対し、短期間(平均1〜3ヶ月)で劇的な変化が期待できます。
結婚式や就職活動、成人式やメディア出演の機会を控えているなど、人生の大切なイベントを控えている方にはおすすめの選択肢です。
即効性があるため、治療に長期間かけている時間がない方に適しており、「スピード矯正」とも呼ばれています。
3-2. 色や形を理想に近づけやすい
歯並びだけでなく、「歯並び」「歯の形」「歯の色」を同時に変えられるのも、セラミック矯正ならではの大きなメリットです。
オールセラミック(e.max)などの素材を使用することで、天然歯に近い透明感や繊細な質感を再現することも可能です。
【色:理想の白さをコントロールできる】
セラミック矯正では、歯の色を細かく設計できます。
ホワイトニングでは限界がある変色歯、たとえばテトラサイクリン歯のように内部から着色しているケースでも、被せ物によって安定した白さを再現できます。
また、単に「真っ白」にするのではなく、肌の色や年齢、顔立ちとのバランスを見ながらトーンを選択できるのも特徴です。
自然で上品な白さから、より明るい審美重視の白さまで、目的に合わせた調整が可能です。
【形・大きさ:バランスをデザインできる】
セラミック矯正では、歯の丸みや角の取り方、長さや幅まで細かく設計できます。
生まれつき小さい矮小歯や、左右で形が違う歯、不揃いな前歯も、全体のバランスを見ながら整えることが可能です。
すり減って短くなった歯を適切な長さに回復させたり、横幅を調整して隙間を目立ちにくくしたりと、見た目の印象を総合的にコントロールできます。
さらに、古い詰め物の変色や形の不自然さも同時に改善できるため、「並びだけでなく、口元全体を整えたい」という方にとって大きなメリットとなります。
3-3. 症例によっては通院回数が少ない
セラミック矯正は、歯を少し削って型取りを行い、仮歯で形を調整し、その後に本歯を装着するという流れが基本です。
そのため、ワイヤー矯正のように月に一度の調整を数年続ける必要はなく、比較的短期間・少ない通院回数で治療が完結するケースが多いのが特徴です。
遠方から通う方や、仕事や子育てで忙しい方にとっては大きなメリットといえるでしょう。
また、歯の根を動かす治療ではないため、一般的な歯列矯正のような「後戻り」を防ぐためのリテーナー(保定装置)は原則として不要です。
4. セラミック矯正のデメリット・リスク

多くのメリットのあるセラミック矯正ですが、デメリットやリスクもあります。
4-1. 健康な歯を削る必要がある
セラミック矯正では、被せ物の厚みを確保するために健康な歯を削ります。
特に、歯の最表層であるエナメル質を削ることになるため、細菌感染に対する防御力が低下します。
その結果、被せ物の内部で虫歯が再発する「二次虫歯(二次カリエス)」のリスクが恒常的に高まります。
そして残念ながら、一度削ったエナメル質は二度と再生しません。
「元の健康な歯に戻す」ということはできないため、セラミック矯正を始める前にその点はしっかりと把握しておく必要があります。
4-2. 神経を取る可能性があるケースも
歯の傾きを大きく変える必要がある場合や、削る量が多い場合には、神経(歯髄)を除去する処置が必要になることがあります。
神経を抜いた歯は、血液や水分の供給が断たれ、徐々にもろくなります。
例えるなら「枯れ木」のような状態で、強い咀嚼圧がかかると歯根から破折を起こすリスクが高くなります。
また、神経を失うと痛みを感じなくなるため、内部で虫歯が進行しても気づきにくいという問題もあります。
発見が遅れた結果、抜歯が必要になるケースもゼロではありません。
関連記事
4-3. やり直しが難しい・将来的な負担
セラミックは半永久的なものではなく、一般的な寿命は約10〜15年とされており、使用状況やメンテナンスによって前後します。
再治療の際には、再び歯を削る必要があります。
そのたびに土台となる天然歯は少しずつ小さくなり、最終的には被せ物の維持が難しくなる可能性もあります。
また、セラミック矯正は自由診療です。
将来的に作り直しが必要になるたびに高額な費用が発生するため、初期費用だけでなく「生涯コスト」まで視野に入れて検討する必要があります。
4-4. 噛み合わせの根本改善ではない場合がある
セラミック矯正は、歯根の位置を動かす治療ではありません。
あくまで被せ物の形や角度で見た目を整える方法であり、骨格や歯根レベルでの不正咬合を根本から改善する治療とは異なります。
無理に角度を調整すると、噛む力が歯の軸に対して斜めにかかる「側方圧」が生じます。
この力は歯周組織に負担をかけ、歯茎や歯槽骨を傷める原因になります。
さらに、不適切な噛み合わせは顎関節症のリスクを高めるほか、頭痛や肩こりなどの全身症状を誘発する可能性も指摘されています。
見た目だけでなく、機能面まで含めて慎重に判断することが重要です。
5. セラミック矯正が向いている人・向いていない人

セラミック矯正は魅力的な選択肢ですが、すべての人に適しているわけではありません。
目的や価値観、歯や骨格の状態によって、向き・不向きがはっきり分かれます。
5-1. 向いている人
セラミック矯正が向いている人は、以下のような方です。
・短期間で完了させたい人
数ヶ月〜数年かかる通常の矯正を待てない理由がある方に向いています。
たとえば、結婚式や就職活動、成人式、メディア出演など、重要なライフイベントを控えている場合です。
短期間で見た目を整えたいという明確な期限がある人には、大きなメリットがあります。
・歯並びだけでなく、色や形も同時に変えたい人
ホワイトニングで白くならない変色歯(テトラサイクリン歯など)を改善したい方や、生まれつき小さい矮小歯、不揃いな歯の形を一度に整えたい方にも適しています。
「並びだけでなく、口元全体をデザインしたい」という希望がある人に向いています。
・矯正装置の装着に抵抗がある人
1日20時間以上のマウスピース装着や、数年間にわたるワイヤーの見た目や違和感を避けたい方にも選択肢になります。
装置を長期間つけ続けることが難しい人にとっては現実的な方法です。
・過去の矯正後の“後戻り”を短期間で整えたい人
以前矯正治療を受けたものの、少しだけ歯並びが崩れてしまったケース。
軽度の乱れを短期間で整えたい場合には、検討してもいいでしょう。
5-2. 向いていない人
反対に向いていない人は次のような方です。
・健康な歯を削ることに強い抵抗がある人
セラミック矯正は不可逆的な処置です。
自分の天然歯をできるだけ削らず、一生大切に使い続けたいと考える方には向いていません。
・骨格的な問題が大きいケース
出っ歯や受け口の原因が歯並びではなく、顎の骨格にある場合、被せ物で見た目を整えても根本解決にはなりません。
こうしたケースでは矯正治療や外科的治療が必要になることがあります。
・噛み合わせの根本改善を望む人
見た目のカモフラージュではなく、上下の歯が機能的に正しく噛み合う状態を目指したい方には、歯根から動かす矯正治療の方が適しています。
機能面を最優先に考える場合は慎重な判断が必要です。
・歯ぎしり・食いしばりの癖が強い人
強い咬合力が加わると、セラミックは割れたり欠けたりするリスクがあります。
装置の寿命を極端に縮めてしまう可能性があるため、力のコントロールが難しい方には注意が必要です。
・成長期の子ども・若年層
顎の成長が完了していない段階で歯を大きく削ることは、将来的な再治療リスクを高めます。
成長途中の子どもや若年層には基本的に推奨されません。
6. セラミック矯正がおすすめなケースと「出っ歯」への対応

セラミック矯正はすべての歯並びに適しているわけではありません。
しかし、症例によってはとても適した選択肢となります。
「特におすすめできるケース」と、「出っ歯(上顎前突)」への対応について見ていきましょう。
6-1. セラミック矯正が特におすすめなケース
セラミック矯正が特におすすめできるケースは、以下のようなケースです。
・生まれつき小さい歯(矮小歯・円錐歯)
もともと歯のサイズが小さい場合、歯を動かす矯正だけでは見た目のバランスが整わないことがあります。
セラミックで大きさや形を補うことで、自然な比率に改善できます。
・重度の変色歯(テトラサイクリン歯など)
内部から変色している歯は、ホワイトニングでは十分な改善が難しいケースがあります。
セラミックで覆うことで、安定した理想の白さを再現できます。
・古い差し歯(既存の不適合な補綴物)のやり直し
すでに差し歯が入っていて、色や形が不自然、適合が悪いといった場合は、やり直しと同時に歯並びの見た目を整えることが可能です。
もともと削ってある歯であれば、心理的ハードルも比較的低くなります。
・時間的制約が非常に厳しい場合
結婚式や大切な撮影、海外赴任など、どうしても短期間で見た目を整える必要があるケースでは、数回の通院で完了するセラミック矯正が現実的な選択肢になることがあります。
6-2. 「出っ歯(上顎前突)」への対応と判断基準
出っ歯に対してセラミック矯正が有効かどうかは、「原因」がどこにあるかによって大きく変わります。
セラミック矯正で改善可能な「出っ歯」
・原因が「歯」にある場合
歯そのものが前方に傾いているだけで、骨格に問題がないケースでは、被せ物の角度調整によってある程度の見た目改善が可能です。
・噛み合わせの軽度な調整レベル
上下の関係に大きなズレがなく、前歯の突出が軽度であれば、見た目を整える範囲での対応としてセラミック矯正が向いていることがあります。
セラミック矯正では難しい「出っ歯」
・原因が「骨格」にある場合
上顎そのものが前に出ている、あるいは下顎が後退しているといった骨格性の問題がある場合、歯の被せ物だけでは根本改善にはなりません。
・Eライン(横顔の美しさ)への影響が大きい場合
横顔のバランスに大きく影響している出っ歯では、歯の角度だけを変えても理想的なEラインは得られないことがあります。
この場合、矯正治療や外科的アプローチが必要になることもあります。
※出っ歯治療における注意点(リスク)
出っ歯をセラミック治療する場合においては、注意点もあります。
・前歯の傾きを大幅に内側へ入れる場合
大きく角度を変えようとすると、神経の通る管を避けて削ることが難しくなり、高い確率で神経を抜く処置が必要になることがあります。
・歯根の向きを変えずに角度だけを変えるリスク
歯根はそのままで、被せ物の角度だけを無理に変えると、噛む力が斜めにかかる「側方圧」が強くなります。
その結果、将来的に歯が折れたり、セラミックが外れたりするリスクが高まります。
出っ歯の治療では、「見た目をどこまで改善したいのか」「根本的に治したいのか」という目的の整理がとても重要です。
セラミック矯正が適しているケースもありますが、原因を正確に診断したうえで慎重に選択することが大切です。
7. まとめ:セラミック矯正は“目的次第”。比較して決めることが大切

セラミック矯正は、短期間で見た目を大きく整えられる治療法です。
歯並びだけでなく、色や形まで一度にデザインできるため、「早くきれいにしたい」という希望を叶えやすい選択肢といえるでしょう。
一方で、健康な歯を削る必要があるという大きな特徴があります。
一度削った歯は元には戻りません。
場合によっては神経の処置が必要になることもあり、将来的な再治療の可能性も視野に入れる必要があります。
また、セラミック矯正は歯を動かす「矯正治療」とは本質的に異なります。
その違いを理解したうえで、自分の目的に合った治療法を選ぶことが重要です。
ウィ・スマイルでは、マウスピース矯正を中心に、一人ひとりの歯並びやライフスタイルに合わせた治療提案を行っています。
後悔のない選択がしたい方、ぜひ一度ご相談ください。
\信頼できる矯正医を探すなら
「WE SMILE」/






















